یکشنبه 07 دی 1404
Sunday, 28 December 2025

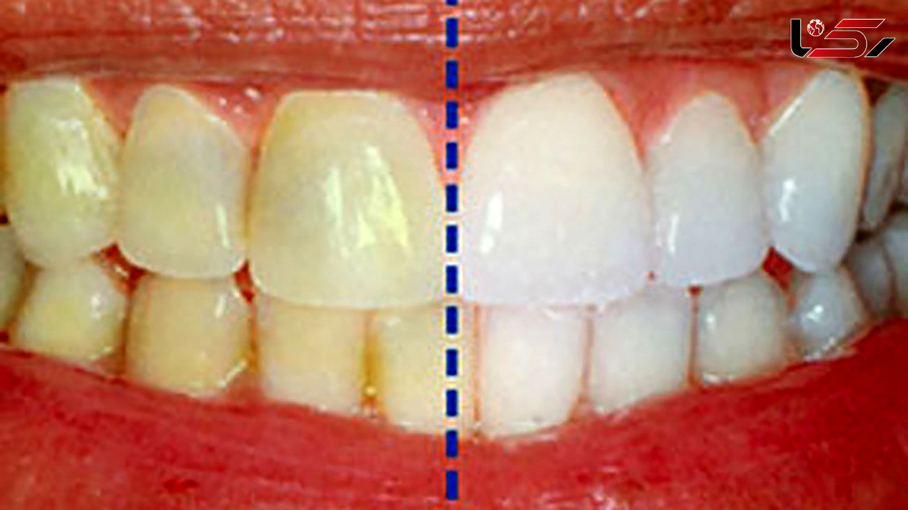
خطر ساییدگی دندان با پودرهای سفید کننده

رکنا سه شنبه 15 تیر 1400 - 11:53
خطر ساییدگی دندان با پودرهای سفید کننده

دندان در زیباتر دیده شدن صورت شما نقش دارد. به جز بحث سلامت دندان بسیاری از افراد به زیبایی دندان هم اهمیت خاصی می دهند. یکی از کارهای رایج برای سفید شدن دندان استفاده از پودرهای سفید کننده دندان است.

به گزارش رکنا، رییس دهمین کنگره انجمن متخصصان دندانپزشکی ترمیمی ایران گفت: پودرهای سفید کننده دندان مضر هستند چرا که قدرت سائیدگی بسیار شدیدی دارند.

 دکتر فرحناز مهدی سیر در حاشیه برگزاری دهمین کنگره سالیانه انجمن متخصصین دندانپزشکی ترمیمی ایران در جمع خبرنگاران گفت: مسئولان باید برای مقابله با واردات این گونه مواد، تمهیداتی بیندیشند چرا که برای سلامت دندان ضرر زیادی دارد البته استفاده ماهیانه یک بار از این مواد برای دندان چندان مضر نیست.

درمان دندان با لیزر

وی درباره میزان کاربرد لیزر در درمان دندان در ایران اظهار کرد: لیزر در درمان بافت سخت جایگاهی در ایران پیدا نکرده است ولی برای درمان بافت نرم کاربرد دارد.

این متخصص دندانپزشکی ترمیمی درباره بیماریهای شایع دهان و دندان اظهار کرد: پوسیدگی شایع‌ترین بیماری است که این عارضه در هر مقطع سنی در منطقه خاصی از دندان بیشتر رخ می‌دهد. به عنوان مثال در ناحیه جونده دندان، پوسیدگی بیشتر در سنین جوانی و نوجوانی رخ می‌دهد این در حالی است که پوسیدگی در قسمت مجاور دندان در سنین جوانی و میانسالی شایع است و در سنین سالمندی نیز پوسیدگی سطوح ریشه شایع‌تر است. البته پوسیدگی ریشه در سنین پایین‌تر در بین افرادی که تغذیه مناسبی ندارند و بهداشت دهان و دندان خود را کمتر رعایت می‌کنند نیز دیده می‌شود.

عوامل موثر بر حفظ سلامت دندان

وی آموزش بهداشت دهان و دندان، تغذیه صحیح در زمان بارداری، کودکی و بزرگسالی، مراجعه به موقع به دندانپزشک و استفاده از دهان شویه‌های حاوی فلوراید را از جمله عوامل موثر بر حفظ سلامت دندان ذکر کرد.

رییس دهمین کنگره انجمن متخصصین دندانپزشکی ترمیمی ایران در ادامه درباره این رویداد علمی گفت: در کنگره دهم آخرین دستاوردها درباره آخرین مواد دندانپزشکی که وارد بازار شده است ارائه می‌شود. علاوه بر آن در زمینه درمان‌های جامع دندان نیز بحث می‌شود. به عنوان نمونه در این نوع درمان ترمیم این عضو به تنهایی در نظر گرفته نمی‌شود بلکه درمان با توجه به محیط دندان صورت می‌گیرد.

وی ایمپلنت، طب مکمل، ترمیمی، ارتودنسی، آموزش تکنیک‌های جدید را از دیگر محورهای این کنگره برشمرد و اظهار کرد: در این رویداد علمی میزگردهایی نیز برای رفع اشکالات پایه‌ای دندانپزشکان برگزار می‌شود.

مشکلات دندانپزشکی ترمیمی

مهدی سیر در پایان درباره کمبودهای موجود در زمینه دندانپزشکی ترمیمی در ایران گفت: لازم است در زمینه ایمپلنت بیشتر کار کنیم. در زمینه ترمیم‌های غیرمستقیم مانند قالب گیری و در کل اموری که با لابراتوار ارتباط دارد در ایران مشکلاتی داریم که لازم است به این قسمت نیز بیشتر پرداخته شود در این جهت به آموزش پایه‌ای برای بخش لابراتوار نیاز است.

منبع خبر "رکنا" است و موتور جستجوگر خبر تیترآنلاین در قبال محتوای آن هیچ مسئولیتی ندارد. (ادامه)
با استناد به ماده ۷۴ قانون تجارت الکترونیک مصوب ۱۳۸۲/۱۰/۱۷ مجلس شورای اسلامی و با عنایت به اینکه سایت تیترآنلاین مصداق بستر مبادلات الکترونیکی متنی، صوتی و تصویری است، مسئولیت نقض حقوق تصریح شده مولفان از قبیل تکثیر، اجرا و توزیع و یا هرگونه محتوای خلاف قوانین کشور ایران بر عهده منبع خبر و کاربران است.